Sound Dental Solutions
Sound Dental Solutions
Request an Appointment
Like us on Facebook
Visit us on Yelp
Leave a Google Review
(360) 548-3188
16404 Smokey Point Blvd Ste 301
Arlington, WA 98223
Menu
Call
Book Now
Map
Home
About
Our Team
Dr. Andrew Kim
Technology
Office Pictures
Services
View All
Teeth Cleanings and Exams
Professional Teeth Whitening
Invisalign
General Dentistry
Periodontal Disease Treatment
Dental Crowns and Bridges
Tooth-Colored Fillings
Dental Implants
Root Canal Treatment
Cosmetic Dentistry
Emergency Dental Care
Full & Partial Dentures
Tooth Extraction & Oral Surgery
Smile Gallery
Specials
Patient Info
View Patient Info
Forms
Financial
FAQs
Blog
Contact
Sound Dental Solutions
>
Smile Gallery
>
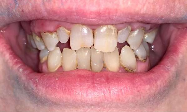
Implant Supported Overdenture
Implant Supported Overdenture
Return to Smile Gallery
Previous
Next
Related Services:
Dental Implants
Cosmetic Dentistry
Full & Partial Dentures
Click image to see a larger picture
Before
After
Improve your smile today – call to schedule a consultation!
Claim Now!
If you have difficulty using our website, please
email us
or call us at
(360) 548-3188
View the
ADA Accessibility Statement
Turn on ADA Views
OK!
×
×
Contact Us Today
Give Us A Call
Sound Dental Solutions -
(360) 548-3188
Send Us an Email
Request an Appointment
Contact Us
Ready to Schedule an Appointment?
Book Online
Have Questions? Contact Us:
Required Field
Your Name:
Phone:
Email:
Are you a new patient?:
Are you a?
New Patient
Current Patient
How would you like us to contact you?
Please choose
Email
Call
How did you hear about us?
Please choose
I'm an existing patient
Google/Bing
Mailer
Word of mouth
Social media
Other
Who Referred You?:
Insurance Information
Carrier/Provider
Group ID#
Date of Birth
Appointment Preferences
Monday
Tuesday
Wednesday
Thursday
Your Message:
This site is protected by reCAPTCHA and the Google
Privacy Policy
and
Terms of Service
apply.
Sending...
×
This Patient's Experience
Loading Testimonial...
Loading Case...